Your smile is often the first thing people notice. With today’s advances in cosmetic dentistry—and Dr. Ring’s experience in aesthetic procedures—you don’t have to settle for stained, chipped, or uneven teeth.
At Generation Dental Group, we offer modern cosmetic solutions designed to enhance your smile and boost your confidence.
📞 Call to schedule a cosmetic consultation: (636) 532-2228
Zoom In Office Whitening
Whitening


Get dramatic results quickly with professional in-office whitening. This option is ideal if you want a noticeably brighter smile in a short amount of time.
At-Home Whitening
Our state-of-the-art take-home whitening system safely brightens your teeth within just a few days—helping take years off your smile from the comfort of home.
✔ Safe and effective
✔ Customized to your smile
✔ Long-lasting results
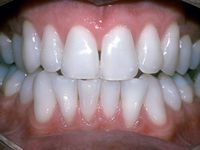
Porcelain veneers are thin, custom-made shells bonded to the front of your teeth to improve their appearance. Designed to look natural and resist staining, veneers can dramatically transform your smile.Porcelain Veneers
Porcelain Veneers
Veneers are commonly used to correct:
- Discoloration that doesn’t respond to whitening
- Chipped or broken teeth
- Worn or uneven teeth
- Gaps between teeth
- Misshapen or misaligned teeth
Porcelain veneers closely mimic the light reflection of natural enamel, creating a beautiful, natural-looking result.
Tooth Colored Fillings (composite resins)
We offer tooth-colored composite fillings as a natural-looking alternative to traditional metal fillings.
Benefits include:
- Blends seamlessly with your natural teeth
- Mercury-free
- Preserves more healthy tooth structure
- Strong, durable, and esthetically pleasing
Composite fillings allow us to remove only the damaged portion of the tooth while restoring both function and appearance.
Crowns
A dental crown is a custom, tooth-shaped cap placed over a tooth to restore strength, function, and appearance. Once cemented, the crown fully covers the visible portion of the tooth above the gumline.
Dr. Ring may recommend a crown to:
- Protect a weak or cracked tooth
- Restore a broken or severely worn tooth
- Cover a tooth with a large filling
- Improve the appearance of misshapen or discolored teeth
- Support a dental bridge
- Restore a dental implant
Crowns are designed to look and function like natural teeth while providing long-lasting protection.
Ready to Enhance Your Smile?
If you’re considering cosmetic dentistry, we’d love to help you explore your options and create a smile you feel confident sharing.
📞 Call Generation Dental Group: (636) 532-2228
📅 Request a cosmetic consultation online
